TMS (transcranial magnetic stimulation) is designed to help people who suffer most from depression to start feeling better again.
of Patients
See Improvement
Million
Treatments Administered
of Patients
Reach Remission
"Life has its seasons, and some of them are heavy. I reached a point where I knew I needed a safe space to unpack years of emotional weight and begin truly healing. I was looking for a female therapist who not only had strong professional skills but also carried a deep sense of spiritual understanding. That combination isn’t easy to find… but then I met Darlene Neal. From our very first session, I felt seen, supported, and gently guided. Darlene has a way of holding space that is both compassionate and grounded. She helped me walk through some of my deepest pain and into a place of clarity and freedom. Finding the right therapist isn’t always easy, it takes more than credentials. It takes alignment, heart, and presence. I feel so blessed to have found all that in Darlene. Being referred to her was truly divine timing, and I’m beyond grateful for the healing journey we’ve shared. Thank you, Darlene Neal—from the bottom of my heart."
- Sandra
"Rev. Dr. Bethany Fulton helped guide me through a lot of obvious trauma, but she also helped illuminate and compassionately guide me through repressed trauma/memories I was unaware of. She offered a multitude of techniques to stay aware and present within my life and kept me accountable throughout our entire time together. I appreciate her unique balance of professionalism, multi-facted intelligence, and empathy. She was a bright ray of light within my life and her advice, silly quips, and words of kindness and encouragement will continue to stay with me."
- Jessie
"Dr Bethany Fulton was my therapist for about a year and a half and she was a perfect match for me. She really helped me with what I was going through. The best way for me to describe going to therapy is taking your brain out and putting it in some rice, it’s a nice little reset for your brain."
- Olivia
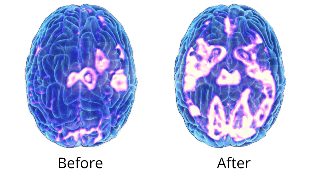
Transcranial Magnetic Stimulation uses strong, magnetic pulses distributed through a coil
to regulate the neural activity of brain structures associated with depression.


No Systemic Side Effects
While you may feel slight pressure on top of your head, most patients adapt to the sensation after just a couple of sessions.

Medication Free
Rest assured, you do not have to start a new medication regimen throughout TMS.

21 Day Difference
An analysis of 1,753 patients showed that the average patient achieved a sustained response after just 16 treatments.

About 83% of patients who complete a full course of TMS show a clinically meaningful response and about 62% experience a remission, meaning their symptoms go away completely.

Sessions are about 20 minutes and you can drive to and from your appointments. The full course covered by insurance usually takes about 6-8 weeks to complete.

All major payers cover TMS treatment for Depression. If you've tried multiple antidepressants and therapy, there's a good chance your insurance covers it.

Schedule
Call the office, fill out a form, or book directly to request a consultation.

Meet
30 Minutes
We'll talk through your medical history and symptoms. You'll receive a personalized treatment plan, with insurance approval before starting.

Map
45 Minutes
During your first session, we determine device position to ensure the most effective treatment for you. This process is known as "mapping".

Treat
20 Minutes
Relax during treatment. After each session, you'll be able to resume your daily routine immediately.

